Pitfalls bij POCUS
Artefacten
- Artefacten zijn drogbeelden die ontstaan doordat het ultrasone geluid op een andere manier wordt doorgeleid/weerkaatst dan 'gebruikelijk'
- Artefacten verdwijnen als je ze vanuit een ander vlak bekijkt, terwijl anatomische structuren blijven bestaan
- Daarom is het belangrijk structuren in minstens 2 vlakken te beoordelen
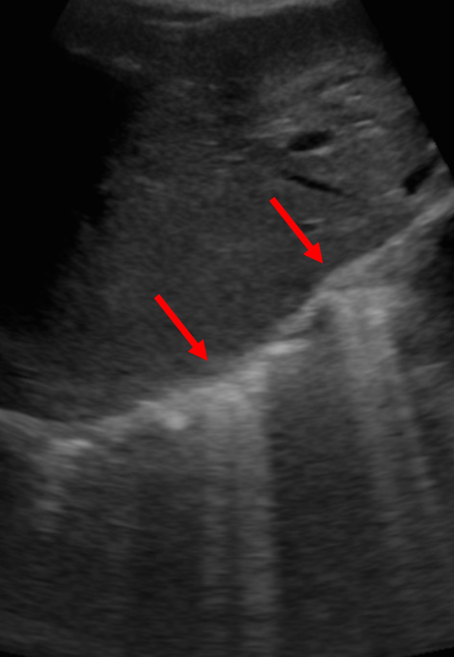
Reverberatie artefact
- Geluid kaatst met name terug bij overgang van structuren met sterk verschillende acoustische impedantie
- Bijvoorbeeld overgang naar lucht, metaal, calcium (bot)
- Het reverberatie artefact ontstaat als er 2 (of meer) sterk reflectieve structuren parallel van elkaar lopen en de straal van de echoprobe daar weer loodrecht op staat
- Het geluid weerkaatst dan meermaals tussen de 2 parallele structuren en geeft steeds ook een deel van het signaal terug naar de echoprobe af
- De signalen komen na elkaar aan bij de probe. Omdat de echo diepte berekent uit de tijd die het kost voor het geluid om terug te keren, lijken de opeenvolgende signalen van steeds dieper te komen
- Hierdoor ontstaat een op een vast interval herhalend beeld (echodense parallele lijn) de diepte in
- De bovenste lijn geeft de diepte van de daadwerkelijke structuur weer
- Een bekend voorbeeld van dit artefact zijn de A-lijnen bij POCUS van de longen (reflectie tussen pleura en huid/probe)
- Omdat reverberatie het sterkst is bij een loodrechte positie van de echoprobe t.o.v. de parallele structuren, kun je het artefact verminderen door de probe te tilten. Ook helpt het soms om de afstand tussen de probe en de af te beelden structuur te verminderen

Afbeeldingen van European Society of Radiology - EPOS
Specifieke reverberatie artefacten
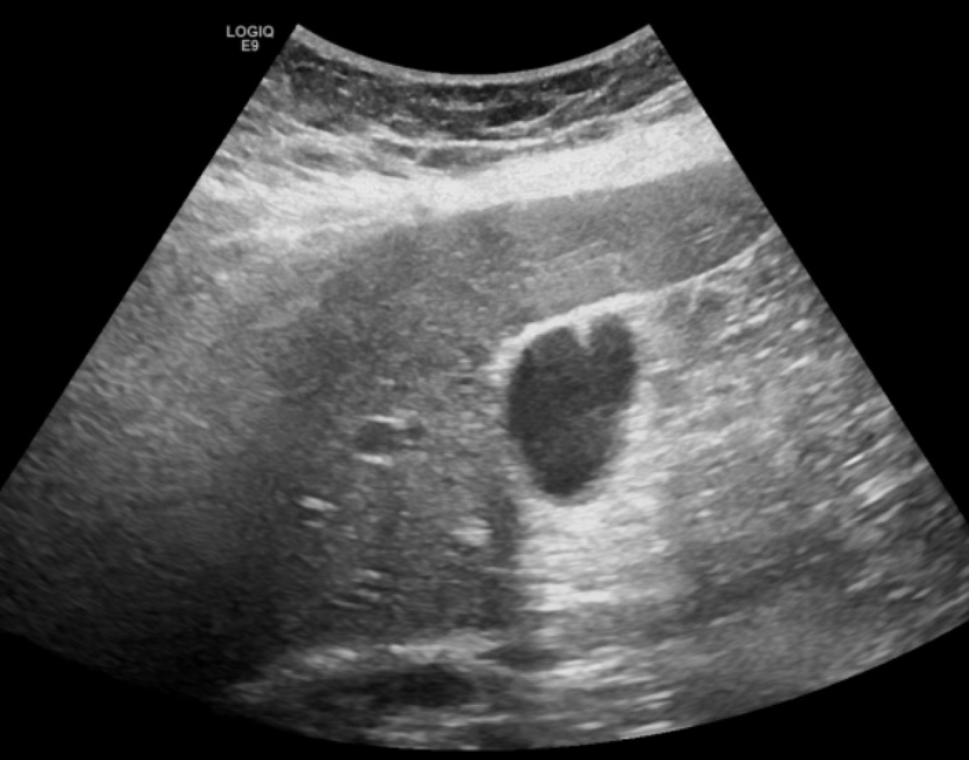
- Er zijn ook 2 specifieke subtypes van het reverberatie artefact: comet-tail artefact en ring-down artefact
- Comet-tail artefact: De sterk reflecterende structuren staan erg dichtbij elkaar, daardoor zijn de opeenvolgende reflecties zo dicht op elkaar dat ze een streep vormen de diepte in. Bijvoorbeeld B-lijnen (weerkaatsing tussen verdikte interlobulaire septa) bij echo van de longen. Ook calcium en corpora aliena kunnen comet-tail artifacten geven
- Ring-down artefact: Lijkt qua beeld op een comet-tail artefact, maar is nog denser (witte streep) doordat er nu continu een signaal wordt teruggekaatst. Dit gebeurt als je een tetrahedron van luchtbubbels hebt met in het midden een vochtpocket. De weerkaatsing in deze structuur is praktisch continu. Dit is dus een teken van de aanwezigheid van lucht, bijvoorbeeld in een abces, een vat (portoveneus gas) of de wand van een structuur (emfysemateuze cholecystitis)
- N.B. De THI setting (Tissue Harmonic Imaging) vermindert reverberatie artefacten in het algemeen, maar maakt comet-tail artefacten sterker. Spatial compounding imaging vermindert zowel comet-tail als ring-down artefacten

Comet-tail artefact; Afbeeldingen van European Society of Radiology - EPOS

Ring-down artefact; Afbeeldingen van European Society of Radiology - EPOS